経験豊かな歯列矯正の専門医が当院にて診療します
大人も子どもも、美しい歯並びとともに、すべての歯がしっかりとかみ合うことを目的としています。
その方のご希望、悩みをよく聞き、できるだけ歯を抜かないで治療します。
必要に応じて「歯科用CT」や「頭部エックス線写真(セファロ写真)」を撮り専門医が正確な診断をいたします。
当院の歯列矯正専門医は、自身も母親である立場や経験から常に「自分の子どもだったらどうする?」を念頭にいろいろな角度からその患者さんに一番適したゴールをお母様と一緒に考えます。
歯を抜かない治療をご希望の方は、相談時にお話ください。
歯列矯正治療は早く始めるほど早く終わるというものではありません。
かみ合わせの状態、程度によって、治療をはじめる最適な時期、方法が違いますので、まずはご相談ください。
※当院では現在、初診で矯正を始める場合、おおむね小学校4年生以上から成人までの症例に限っております
歯並びや顎の大きさ、位置が悪い状態をいいます。
これには受け口(下顎前突)、出っ歯(上顎前突)、乱ぐい歯(叢生)、八重歯、すき歯、開咬等があります。
これらは単に咬み合わせだけの問題にとどまらず、心理的に劣等感をもたらすこともあります。
歯並びが悪いまま放っておくと、歯がみがきにくいため虫歯や歯肉の炎症(歯槽膿漏)になりやすかったり、食べ物を噛むのが難しかったり、発音しにくい言葉があったり、顎がアンバランスに成長したりすることがあります。
この他にもいろいろな影響があります。
矯正歯科治療は早く始めるほど早く終わるというものではありません。
不正咬合の種類や程度によって、矯正歯科治療に通う時期や期間が違います。
一般に、顎の大きさに問題があって、放置しているとどんどん悪くなると思われる場合は、できるだけ早く矯正治療を開始します。
一方、顎の大きさに問題がなく、ただ歯並びだけが悪い場合は、永久歯がほぼ生えそろった後で矯正治療を開始することが多いのです。
(※当院では現在、初診で矯正を始める場合、おおむね小学校4年生以上から成人までの症例に限っております)
矯正歯科治療は毎日通うのではありません。
矯正装置をつけて歯を動かしている時は一ヶ月に一度、永久歯が生えるのを待っていたり、動かした歯が安定するのを待つ時は6ヶ月に一度程度通えばよいのです。
矯正歯科の装置の種類は非常にたくさんあります。
口の中に入れる装置と口の外につける装置、取り外しができる装置とできない装置などです。
どの装置を使うのが一番よいかは、その患者さんの不正咬合の種類や程度によって異なりますので、頭部エックス線写真(セファロ)やオルソパントモ写真、模型などできちんと検査することが大切です。
できるだけ抜歯はしないで治療します。
しかし、歯と顎の大きさが合っていない場合(歯が大きい、または顎が小さい)や、 前歯を内側に入れるための隙間が足りない場合などは、抜歯が必要なことがあります。
矯正治療で動かした歯は、元の位置に戻ろうとする傾向があります。
また、まだ身長が伸びている間は、顎も成長して歯並びが変化することもあります。
そのため、歯を動かす装置をはずして一見矯正歯科治療が終わったように見えても、 保定のためその後一年に1~2回程度通う必要があります。
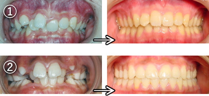
乱ぐい歯

1.矯正開始から1年半経過
2.矯正開始から2年経過
自費治療
総費用80万円
(※治療期間:約2年間 検査料・装置料・調整料等の総計)
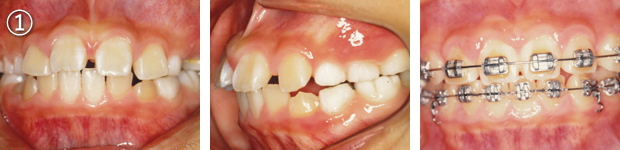
出っ歯(上顎前突・じょうがくぜんとつ)12歳

1.前歯がかなり出ていました。顔が小さい方だったので上下の歯を2本ずつ抜いて装置を付けました

2.二年後、全ての歯がしっかりと咬み合い、横顔もとても美しくなりました
自費治療
総費用80万円
(※治療期間:約2年間 検査料・装置料・調整料等の総計)
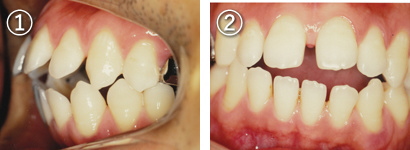
受け口(反対咬合・はんたいこうごう)

1.前歯が反対咬みで八重歯もありました。
2.装置を付けました。
3.一年8ヶ月後、きれいな歯並びになりました。八重歯、受け口も解消されています。
自費治療
総費用83万円
(※治療期間:約1年8ヶ月 検査料・装置料・調整料等の総計)
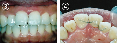
開咬(かいこう)男性35歳

1.開咬(かいこう)とは、奥歯で咬んだ時、前歯が咬み合わず空いている状態を言います。
2.前歯で食べ物を噛み千切る事が出来ませんでした。

3.治療には目立ち難い白い装置(ブラケット)を使用しました。
4.二年後、麺も前歯で咬み切れるようになりました。
自費治療
総費用86万円
(※治療期間:約2年間 検査料・装置料(白いブラケット)・調整料等の総計)
MTM マイナー・トゥース・ムーブメント
(少しだけの歯列矯正)
「矯正」と聞くと全歯に金属の装置が付いた状態を想像しますが、気になる数本の前歯だけ矯正するという事も可能です。
前歯2本の隙間を矯正(35歳)

1.前歯2本の隙間だけが気になると来院されました。
2.気になる歯にだけ装置をつけました。

3.通院3回、2ヶ月で歯はくっつき、患者さんは満足されました。
4.後戻り防止の為、歯の裏側に細いワイヤーを接着剤でつけています。
自費治療
総費用7万円
(※治療期間:約2ヶ月 検査料・装置料・調整料等の総計)
左右の上2番の歯が、下の歯の後ろに入る(9歳)

1.左右の2番目の歯が逆咬みになっています。
2.歯に装置をつけて2週間でここまで出てきます。
3.四ヶ月後、後戻りを考慮して2番目の歯をしっかりと前に出して治療は終了です。
自費治療
総費用14万円
(※治療期間:約4ヶ月 検査料・装置料・調整料等の総計)
前歯の隙間が気になる(12歳)

1.前歯が離れていることだけを治して欲しいと来院されまました。
2.装置を付けました。

3.一ヶ月で治りましたが、歯ブラシをさぼり気味で歯茎が腫れてしまいました。
4.装置をはずしてしっかり歯磨きをしたら、歯茎の腫れは治りました。
自費治療
総費用10万円
(※治療期間:約1ヶ月 検査料・装置料・調整料等の総計)
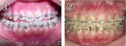
ブラケット(金具)の種類

1.通常のブラケット
2.目立たない白いブラケット(通常のブラケット+43,500円)
歯にブラケット(金具)を付ける以外の歯列矯正装置の症例
軽度の歯並びの悪さであれば、金具(ブラケット)を装着せずに歯列矯正できる場合もあります。
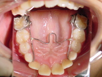
急速拡大装置(上顎の幅を広げる装置)

ねじ式の拡大装置

装置につけたネジを少しずつ回すことで顎の幅を広げる装置
(顎の幅を5mm程度幅を広げるだけで歯並びが改善できる軽い症例で使用)
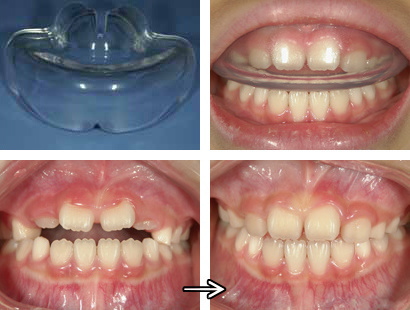
T4K

顎の幅を広げ、舌の悪癖を直し、かみ合わせを改善する取り外しの装置
ムーシールド

FKO

わずかな受け口(反対咬合)を治すための取り外しの装置(夜間使用)
マイクロインプラントを使った歯列矯正
必要に応じてマイクロインプラントを使って歯を動かす矯正もしています。
マイクロインプラントの埋め込みは 通常の麻酔を少量行った後 簡単に行なえますし、術後の痛みもほとんどありません。
マイクロインプラントは磁石で装着する入れ歯の固定にも使われる事がある装置です

マクロインプラントは直径1.5mm程度の極小のネジです。
埋め込んだマイクロインプラントにゴムをかけ、倒れた歯を引っ張っている症例です。

レントゲン写真の歯の大きさからも分かるように、とても小さなネジを顎の骨に埋め込みます。
埋め込んでいる間の違和感や痛みもなく、除去後に傷が残る事もありません。
右の写真は歯根の方にマイクロインプラントを埋め、倒れた歯を起こしている症例です。
当院の歯列矯正治療では『全ての歯がしっかりと咬み合う事』と共に『美しい横顔』になる事も考えています。
歯列矯正で言う美しい横顔とは『鼻の先端と、下顎の先端を結んだ直線の中に上下の唇が入っている状態』を言い、これを『エステティックライン』と呼ばれています。

テレビや雑誌に出てくる芸能人の横顔を気をつけてご覧になると、男女ともに多くの芸能人の横顔がこれに当てはまります。
一般の方も歯列矯正治療をされると、横顔がとても美しく整います。
特に上顎前突(出っ歯)の方は治療後の横顔がびっくりする程美しく変わります。

歯磨きをサボるとブラケット(金具)の回りが白濁してしまいます。この白濁は歯並びが治った後も残ってしまいます。

歯列矯正装置を付けた時は歯ブラシや歯間ブラシを使って、日頃よりもしっかりと歯磨きをしましょう。
フッ素塗布やキシリトールの使用も効果的です。
2000年から現在までに600人以上の患者さんが当院で歯列矯正を終了され、今も常時100~130人の方が、歯列矯正専門で治療中です。
そのうち半数が当院で歯科治療や歯列矯正治療をうけた方からの「紹介」で来院された患者さんであることは、当院の治療に満足していただいた結果であると誇りに思っております。
歯列矯正治療をおこなうにあたって、抜歯が必要な場合があります。
その際、抜いた歯を冷凍保存することが可能です。
詳しい内容、費用、手続きについては以下のHPをご覧ください。
ティースバンク(歯の銀行)
ご希望の方は必ず初めに担当医にお伝えください。
歯列矯正 治療料金(税込)
| 検査料 | 38,700円 |
| 頭部エックス線写真(セファロ) | 21,800円 |
装置料(子供) | |
| 前歯 上のみ4本の場合 | 132,400円 |
| 前歯 上下8本の場合 | 152,700円 |
| 全部の歯の本格矯正 | 395,000~535,000円 |
装置料(成人) | |
| 前歯 上のみ4本の場合 | 137,500円 |
| 前歯 上下8本の場合 | 200,000~254,600円 |
| 全部の歯の本格矯正 | 530,000~630,000円 |
| 調整料 | 一回5,500円 |
| 保定観察料 | 一回2,2000円 |
| 保定装置(取り外し式) | 33,600円(片顎) |
| マイクロインプラント ※同時埋め込みの場合、追加一本につき15,750円 |
一本31,500円 |
・前歯に金属から目立ち難い白いブラケット(留め具)に変更をご希望の方は、装置料に43,500円(上下の前歯12本分)が追加になります。
・矯正の治療費は医療控除の対象になり、申請により税金が払い戻しされます。
・アソアライナー250,000~550,000円(各症例により大きく異なりますのでご相談ください)
・装置料は一年のうちに2回に分けての分割が可能です
よくある質問
読売ウィークリー(2008.8.17,24号)の日本矯正歯科学会認定医650人によるアンケートによると矯正治療にかかる費用の全国平均は、治療開始から終了までで80万円でとあります。
当院での治療費は、通常そこまではかかりませんが、それを目安にして頂ければと思います。
当院では、お子様の治療で、治療期間が一年半の場合、検査から終了までのすべての費用の合計が大体70万円~80万円くらいです。
実際には、初期治療だけで治療が終わる場合は上記の3分の1以下であったりしますし、部分的な矯正だけですと費用は少なくなります。
初期治療で終わるかどうかは、お口の中の状態や、成長の状態によるため、症例によって様々です。
先の雑誌によると、初期治療で治療の目的に達する者が3分の1程度で、残りの3分の2程度が、すべての歯にブラケット等をつけて行う本格的矯正治療に進むと言われています。
患者さん個別の費用については初診時にお口のなかを見せて頂いて、きちんとご説明します。
当院では、治療を開始される場合の検査等によって、最適な時期を考えて治療を行い、できるだけ装置の付いている期間を短くすることを考えています。
患者さんの状況によって治療期間に差がありますので、一概にお答えできませんが、初期治療で歯を動かす場合は装置をつけて半年から1年くらい。
すべての歯に装置をつけて行う本格的矯正治療を行う場合は、平均で1年半~2年位です。
矯正治療をした後は、歯がその位置に安定するように表からみえない装置でとめて(保定治療)経過をみる必要があります。
その期間は歯を動かした期間の2倍程度です。
通常、歯を動かす治療の時は月に1回程度、成長に関わる治療の時は1~2月に1回程度、保定治療のときは、6ヶ月に1回程度(年数が経てば1年に1回程度)です。
患者さんの声