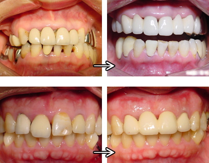
ホワイトニング
歯を削らず、痛くない、簡単に白い歯にする方法です
クリーニングの後、歯の表面に薬品(漂白剤)を塗り、化学反応を起こさせて白くするのが歯のホワイトニングです。
自費治療
片側6~8本 33,000円(税込)
歯茎(歯ぐき)の漂白
黒ずんだ歯茎がピンクに生まれ変わる!
色素沈着などで黒ずみのある部分の歯ぐきに薬を塗布することで、新しいきれいなピンク色の歯ぐきを再生させます。
自費治療
片側 5,500円(税込)
神経を取った歯の漂白
変色してしまった神経を取った歯を白く漂白
歯の裏側から漂白剤を入れて白くします。
自費治療
初回3300円 2回目~1100円/1本(税込)
ハイブリッドセラミック
自然な見た目と、自然歯に近い適度な軟らかさがあるので、咬み合う相手の歯に優しい詰め物です。
自費治療
詰め物(インレー)33,000円/差し歯(冠)55,000円(1本あたり・税込)
ラミネートベニア
歯を削ることなく、セラミックで作ったラミネートべニアを専用の接着剤で貼り付けます。
自費治療
90,000円/1本(税込)
メタルボンド
内側を金属、見える外側は白いセラミックで覆われた差し歯(冠・クラウン)です。
自費治療
100,000円/1本(税込)
オールセラミック
金属を一切使わずセラミックだけで作られた差し歯(冠・クラウン)で、最も審美的に優れています。
自費治療
100,000円/1本(税込)
ジルコニア
人工ダイヤモンドと呼ばれる程、歯科に用いられる素材でも圧倒的に硬く耐久性にも優れた丈夫な素材です。
(見た目は透明感が低く、色味の種類が少ないのでセラミックより劣ります)
硬いという事は例えばインレー(詰め物)であれば薄くても十分耐えられる為、歯を削る量が少なくて済みます。
歯軋りや食いしばりがある方にも有効な場合があります。
メリット、デメリットがありますので、ご希望の場合は歯科医師にご相談下さい。
自費治療
100,000円/1本(税込)
患者さんの声