082-251-0930
当院は完全予約制です

上に戻る

前のページ

ホーム

歯周病治療と予防
Periodontal disease

歯周病治療と予防

歯周病は治らないと、諦めていませんか?
適切な治療とご本人の努力で歯周病は治せます。

私達は患者さんの「歯周病を治したい」という思いを精一杯バックアップしてまいります。

※【8020運動】歯科医師会が推奨する「80歳になっても20本以上の自分の歯を保とう」という運動です



何で困っておられますか?

患者さんの歯周病に対する悩みは様々です。

・痛みや出血を止めたい
・口臭を治したい
・ぐらぐらした歯をどうにかしたい
・困っていることを解決するだけではなく、一生歯を残していきたい



歯周病治療のながれ

1.ご希望のゴール(目標)をお聞きします。

2.レントゲン等でどの程度の歯周病なのかを調べます。

3.検査結果をもとに現在の歯周病の状態、治療方法、歯の磨き方などを詳しく説明します。

4.初めのうちは1~2週に1度、歯科医師と歯科衛生士が病状、歯並びに合ったブラッシング方法や道具を親身になってご指導します。

5.歯石を取ったり、歯のクリーニングを行います。

6.歯周病が安定してきたら、数ヶ月に一回チェックをします。

7.必要であればかみ合わせの治療や歯周外科手術を行うこともあります。


1.歯肉に腫れ、歯と歯肉の境目に多量の歯石が見られます
2.歯石を除去し、正しいブラッシングを行う事で歯肉の腫れも改善しました


歯周病の治療の柱は2つです

・正しい歯磨きでプラーク(歯垢)コントロールをする事

・きれいに歯石を取ること

歯周病とむし歯のリスクを減らしましょう

患者さんに正しいブラッシングが出来るようご指導していくと共に、歯のクリーニング、プロフェッショナルケア(PMTC)を行って、患者さんと一緒に予防に取り組みます。

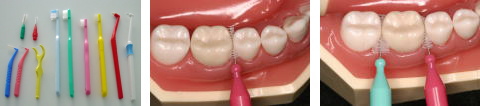
歯ブラシ・歯間ブラシ・糸ようじ・プラウト

デンタルブラシは歯周病治療において大切な道具です。 お一人おひとりに合わせた正しい使い方を丁寧に御指導します。

歯のクリーニング(PMTC)

歯科医師、歯科衛生士が専用の器具、機械を使って普段のブラッシングでは取りきれない歯の汚れを徹底的に取り除きます。




PMTC(Professional Mechanical Toothcleaning)

「PMTC」で抗菌剤などでも取れない「細菌バイオフィルム」を除去し、歯周病とむし歯を予防します。



バイオフィルムとは

むし歯や歯周病は細菌感染によって起こります。

歯の表面や歯周ポケット内部の細菌は抗生剤や殺菌剤も通さない膜「細菌バイオフィルム」で覆われているため、この膜を機械的に取り除く事がとても大切です。

再生療法

失った骨を再生させる

近年の歯科医療、とくにインプラントを含む歯周組織再生治療に進化のスピードはめざましいものがあります。
ここでは歯周組織再生材のリグロスを使った歯周外科手術について説明します。
※健康保険適応



歯周外科手術


1.麻酔をします

2.治療する部分の歯肉を切開し、剥離します

3.歯についた歯石や汚れを丁寧にとりのぞきます

4.骨を再生させたい部分にリグロスを塗布します

5.歯肉を縫いあわせて終了です



手術時間は、手術をする歯の本数により違いますが、おおむね40分~1時間です。

・手術後は抗生剤と痛み止めを約4日間飲みます。
・痛みは、痛み止めが効く程度で心配はありません。




734-0007 広島県広島市南区皆実町4-2-12
Google MAP


082-251-0930


Copyright(C) NAKAMURA-D.net
All Rights Reserved.